ROOT CANAL TREATMENT
ROOT CANAL TREATMENT
Root canal treatment is a procedure used to save a tooth when the nerve (pulp) inside becomes inflamed or infected. This may be caused by deep decay, trauma, cracks, or an existing large filling.
Left untreated, it can lead to pain, swelling, or an abscess.
The goal of root canal treatment is to remove the inflamed or infected tissue, clean and disinfect the inside of the tooth, and seal it to prevent reinfection — helping you keep your natural tooth for as long as possible.
Root canal treatment is a procedure used to save a tooth when the nerve (pulp) inside becomes inflamed or infected. This may be caused by deep decay, trauma, cracks, or an existing large filling.
Left untreated, it can lead to pain, swelling, or an abscess. The goal of root canal treatment is to remove the inflamed or infected tissue, clean and disinfect the inside of the tooth, and seal it to prevent reinfection — helping you keep your natural tooth for as long as possible.
ROOT CANAL TREATMENT - WHAT TO EXPECT
ROOT CANAL TREATMENT - WHAT TO EXPECT
Consultation
From £150
From £150
Your first visit is a specialist consultation with Dr Kreena Patel. We’ll take the time to understand your symptoms, assess any previous treatment, and carry out a detailed clinical and radiographic examination. A small digital X-ray is usually taken, and if needed, we may recommend a 3D CBCT scan to investigate further (additional fee).
You’ll leave with a clear explanation of what’s going on, a discussion of all your treatment options, and an estimate of the success rate — so you can make an informed decision.
CBCT Scan (If needed)
From £175
From £175
A CBCT (cone beam CT) scan provides a detailed 3D image of your tooth and surrounding bone. It allows us to assess hidden canals, fractures, infection, or bone loss that are not always visible on regular X-rays.
This advanced imaging is especially helpful in complex or previously treated teeth, giving us the most accurate picture for diagnosis and treatment planning.
The scan itself is very quick — it takes just 30 seconds and is completely painless.
What’s Included
And Why It Matters for Long-Term Success
And Why It Matters for Long-Term Success
•
Careful removal of any old fillings
•
Placement of a strong, tooth-coloured (composite) restoration
Careful removal of any old fillings
Placement of a strong, tooth-coloured (composite) restoration
Incisor
Premolar
Molar
Composite Core
from £1,000
from £1,050
from £1,150
from £150
This is a crucial step for long-term success — and one that is often missed elsewhere. Studies show that around 95% of teeth needing root canal treatment have hidden cracks, decay, or leakage under existing fillings — even if these problems don’t show up on X-rays. If not addressed, this can lead to treatment failure later on.
This extra attention to detail is standard in Dr Kreena Patel’s care — it’s included in your treatment fee, and helps ensure your tooth stays healthy for years to come.
You will need return to your general dentist for a crown or onlay (important for back teeth) to protect the tooth in the long term.
Dr Kreena Patel understands the importance of preserving tooth tissue for the long-term health and strength of your tooth. She uses conservative access and modern instrumentation techniques, including rotary files and microscopic guidance, to treat the tooth precisely and minimally invasively.
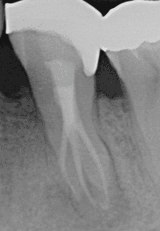
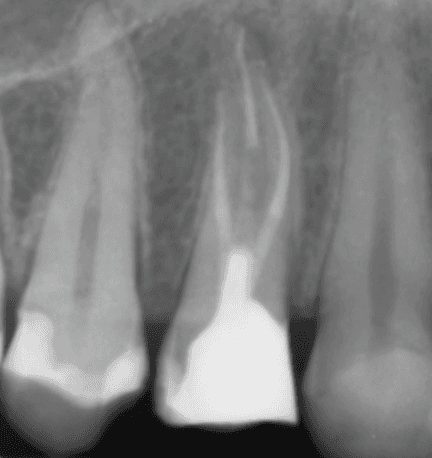
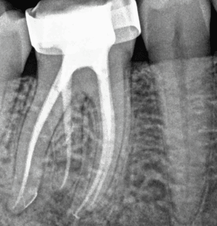
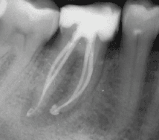
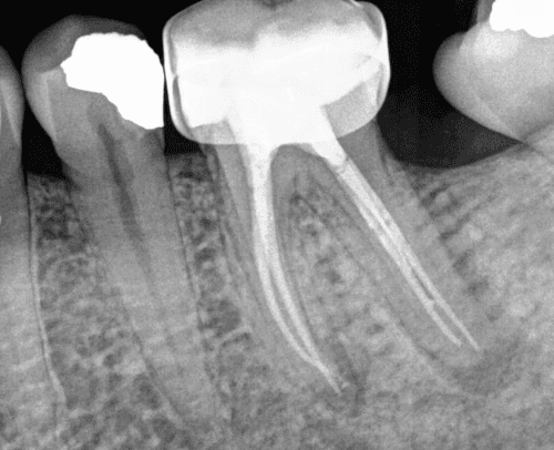
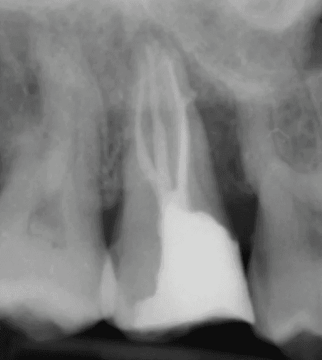
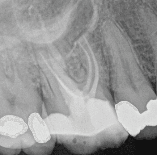
KREENA'S CASES
WHAT OUR PATIENTS SAY
M
Murugesu Navaratnarajah
"I attended the practice to see Dr. Kreena Patel after being referred to her by my dentist Pam Nava for a specialist consultation. The practice was easy to get to. The receptionists were polite and efficient. Dr. Patel was brilliant and highly professional. I have full confidence in her judgement and skills. The practice was very clean and I would recommend this surgery without any reservations."

Steve Hickson
"Attended Bridgestock for a crackled tooth and was cared for by Kreena Patel. I'm a little bit in awe of what she does and what she did for me, she and her immediate team are friendly, down-to-earth and take time to explain everything carefully. I must admit I was a little nervous before the treatment but needn't worried as Kreena and her team put me at ease and did a great job. If you need root canal treatment, you won't go far wrong with Kreena."

Mayoorathy Thushaarah
"I had re-root canal treatment done on three front teeth by Dr. Kreena. I was a bit nervous about my treatment. However, Dr. Kreena put me at ease as she was very reassuring and took time to explain everything clearly before starting the procedure and during the procedure. She was very thorough and gentle. Thank you very much Dr. Kreena and team."
C
Cesar Echavarren Fernandez
"I got treated by Dr. Kreena and I'm very happy about the way she treated me. She had to do quite a tricky procedure, fixing my previous dentist’s mistakes, and she did an amazing job. Not only that, she went out of her way to make sure the process was made perfectly and without error, taking no chances. I was there for 2 and a half hours, and I felt safe, informed and in good hands at all times. Also a quick shout in favor of the receptionist; she was lovely, kind and informative. Receptionists don’t get the respect they deserve sometimes."

Amit Kumar
"I had a root canal treatment done here by Dr. Kreena Patel & her team & I cannot speak highly enough of them all. Very professional, thorough & kind, charming & VERY efficient. Root canal procedure is never a 'pleasure' but this team make it as good as it possibly can be. I have no hesitation in recommending them 100%. I felt in safe hands which was important to me. Thank you team at Brigstock Dental!"
K
Kazuko Hashimoto
"I was very happy with my root canal treatment at Brigstock Dental today. Dr. Kreena is genuine, caring and very good at what she does. Immediately, I could trust her with my treatment. I'm a dentist myself so I thought I would be ok with having a root canal treatment but on the morning of the treatment I was feeling a little nervous. She reassured me all will be fine and explained each step of the way. Her dental nurse is also very lovely and has a great vibe together with Dr. Kreena. Thank you so much. One very happy patient."
K
Phil Ruberry
"I was referred to Brigstock Dental Practice for root canal treatment by my own dentist. I have always been a very anxious dental patient following some bad experiences as a child. I do have great faith in my own dentist and the work she carries out and, therefore, when she referred me I was satisfied that things would be ok. I was not mistaken. Dr. Kreena Patel put me at ease from the very first consultation. Two subsequent visits to complete the treatment were, as near as could be, a pleasant dentist experience. The work needed was presented to me simply and all the potential pitfalls explained. I now have great faith and trust in two dental surgeons!! Thank you Dr. Kreena Patel and to your dental nurse also."
K
Ureta Tattie
"Kreena is brilliant...had a couple root canals before and this young lady is by far the best. Very reassuring, making you feel at ease....relaxing music a bonus.
Kreena uses the lastest technology with expert hands....there was no discomfort…..at all.
Kreena is one of those experts you'd follow around where ever they practice."
K
Cara Stedman
"I self-referred to Kreena for my root canal. To be honest ! was terrified about the procedure and put it off for a long while. However Kreena made me feel at ease and carefully explained all the steps. The procedure was over quicker than I thought, too. I didn't feel a thing during the treatment, had zero pain afterwards, and was very pleased everything had gone to plan. Kreena is such a lovely dentist, clearly very experienced in her field. I wouldn't hesitate to recommend her to anyone."
K
Helen Daniels
"I recently had re-route canal treatment at Bridgstock Dental practice, i was feeling very anxious before my initial appointment. All my anxiety dissipated when i met Kreena Patel, not only is she an expert in her field Kreena made me feel completely at ease. Kreena talked me through what the procedures involved and kept me updated throughout my treatment. I was very happy with the outcome and i would definitely go back."
K
Wendy Cook
"Kreena made me feel very confident in how she was going to treat me from my consultation and I felt very safe in her and her assistants hands. I felt no pain and was made to feel relaxed and informed of the procedure throughout. Now not suffering any pain and would highly recommend her and Brigstock Dental Surgery. Thankyou for making the experience far better than I imagined."
M
Murugesu Navaratnarajah
"I attended the practice to see Dr. Kreena Patel after being referred to her by my dentist Pam Nava for a specialist consultation. The practice was easy to get to. The receptionists were polite and efficient. Dr. Patel was brilliant and highly professional. I have full confidence in her judgement and skills. The practice was very clean and I would recommend this surgery without any reservations."

Steve Hickson
"Attended Bridgestock for a crackled tooth and was cared for by Kreena Patel. I'm a little bit in awe of what she does and what she did for me, she and her immediate team are friendly, down-to-earth and take time to explain everything carefully. I must admit I was a little nervous before the treatment but needn't worried as Kreena and her team put me at ease and did a great job. If you need root canal treatment, you won't go far wrong with Kreena."

Mayoorathy Thushaarah
"I had re-root canal treatment done on three front teeth by Dr. Kreena. I was a bit nervous about my treatment. However, Dr. Kreena put me at ease as she was very reassuring and took time to explain everything clearly before starting the procedure and during the procedure. She was very thorough and gentle. Thank you very much Dr. Kreena and team."
C
Cesar Echavarren Fernandez
"I got treated by Dr. Kreena and I'm very happy about the way she treated me. She had to do quite a tricky procedure, fixing my previous dentist’s mistakes, and she did an amazing job. Not only that, she went out of her way to make sure the process was made perfectly and without error, taking no chances. I was there for 2 and a half hours, and I felt safe, informed and in good hands at all times. Also a quick shout in favor of the receptionist; she was lovely, kind and informative. Receptionists don’t get the respect they deserve sometimes."

Amit Kumar
"I had a root canal treatment done here by Dr. Kreena Patel & her team & I cannot speak highly enough of them all. Very professional, thorough & kind, charming & VERY efficient. Root canal procedure is never a 'pleasure' but this team make it as good as it possibly can be. I have no hesitation in recommending them 100%. I felt in safe hands which was important to me. Thank you team at Brigstock Dental!"
K
Kazuko Hashimoto
"I was very happy with my root canal treatment at Brigstock Dental today. Dr. Kreena is genuine, caring and very good at what she does. Immediately, I could trust her with my treatment. I'm a dentist myself so I thought I would be ok with having a root canal treatment but on the morning of the treatment I was feeling a little nervous. She reassured me all will be fine and explained each step of the way. Her dental nurse is also very lovely and has a great vibe together with Dr. Kreena. Thank you so much. One very happy patient."
K
Phil Ruberry
"I was referred to Brigstock Dental Practice for root canal treatment by my own dentist. I have always been a very anxious dental patient following some bad experiences as a child. I do have great faith in my own dentist and the work she carries out and, therefore, when she referred me I was satisfied that things would be ok. I was not mistaken. Dr. Kreena Patel put me at ease from the very first consultation. Two subsequent visits to complete the treatment were, as near as could be, a pleasant dentist experience. The work needed was presented to me simply and all the potential pitfalls explained. I now have great faith and trust in two dental surgeons!! Thank you Dr. Kreena Patel and to your dental nurse also."
K
Ureta Tattie
"Kreena is brilliant...had a couple root canals before and this young lady is by far the best. Very reassuring, making you feel at ease....relaxing music a bonus.
Kreena uses the lastest technology with expert hands....there was no discomfort…..at all.
Kreena is one of those experts you'd follow around where ever they practice."
K
Cara Stedman
"I self-referred to Kreena for my root canal. To be honest ! was terrified about the procedure and put it off for a long while. However Kreena made me feel at ease and carefully explained all the steps. The procedure was over quicker than I thought, too. I didn't feel a thing during the treatment, had zero pain afterwards, and was very pleased everything had gone to plan. Kreena is such a lovely dentist, clearly very experienced in her field. I wouldn't hesitate to recommend her to anyone."
K
Helen Daniels
"I recently had re-route canal treatment at Bridgstock Dental practice, i was feeling very anxious before my initial appointment. All my anxiety dissipated when i met Kreena Patel, not only is she an expert in her field Kreena made me feel completely at ease. Kreena talked me through what the procedures involved and kept me updated throughout my treatment. I was very happy with the outcome and i would definitely go back."
K
Wendy Cook
"Kreena made me feel very confident in how she was going to treat me from my consultation and I felt very safe in her and her assistants hands. I felt no pain and was made to feel relaxed and informed of the procedure throughout. Now not suffering any pain and would highly recommend her and Brigstock Dental Surgery. Thankyou for making the experience far better than I imagined."
M
Murugesu Navaratnarajah
"I attended the practice to see Dr. Kreena Patel after being referred to her by my dentist Pam Nava for a specialist consultation. The practice was easy to get to. The receptionists were polite and efficient. Dr. Patel was brilliant and highly professional. I have full confidence in her judgement and skills. The practice was very clean and I would recommend this surgery without any reservations."

Steve Hickson
"Attended Bridgestock for a crackled tooth and was cared for by Kreena Patel. I'm a little bit in awe of what she does and what she did for me, she and her immediate team are friendly, down-to-earth and take time to explain everything carefully. I must admit I was a little nervous before the treatment but needn't worried as Kreena and her team put me at ease and did a great job. If you need root canal treatment, you won't go far wrong with Kreena."

Mayoorathy Thushaarah
"I had re-root canal treatment done on three front teeth by Dr. Kreena. I was a bit nervous about my treatment. However, Dr. Kreena put me at ease as she was very reassuring and took time to explain everything clearly before starting the procedure and during the procedure. She was very thorough and gentle. Thank you very much Dr. Kreena and team."
C
Cesar Echavarren Fernandez
"I got treated by Dr. Kreena and I'm very happy about the way she treated me. She had to do quite a tricky procedure, fixing my previous dentist’s mistakes, and she did an amazing job. Not only that, she went out of her way to make sure the process was made perfectly and without error, taking no chances. I was there for 2 and a half hours, and I felt safe, informed and in good hands at all times. Also a quick shout in favor of the receptionist; she was lovely, kind and informative. Receptionists don’t get the respect they deserve sometimes."

Amit Kumar
"I had a root canal treatment done here by Dr. Kreena Patel & her team & I cannot speak highly enough of them all. Very professional, thorough & kind, charming & VERY efficient. Root canal procedure is never a 'pleasure' but this team make it as good as it possibly can be. I have no hesitation in recommending them 100%. I felt in safe hands which was important to me. Thank you team at Brigstock Dental!"
K
Kazuko Hashimoto
"I was very happy with my root canal treatment at Brigstock Dental today. Dr. Kreena is genuine, caring and very good at what she does. Immediately, I could trust her with my treatment. I'm a dentist myself so I thought I would be ok with having a root canal treatment but on the morning of the treatment I was feeling a little nervous. She reassured me all will be fine and explained each step of the way. Her dental nurse is also very lovely and has a great vibe together with Dr. Kreena. Thank you so much. One very happy patient."
K
Phil Ruberry
"I was referred to Brigstock Dental Practice for root canal treatment by my own dentist. I have always been a very anxious dental patient following some bad experiences as a child. I do have great faith in my own dentist and the work she carries out and, therefore, when she referred me I was satisfied that things would be ok. I was not mistaken. Dr. Kreena Patel put me at ease from the very first consultation. Two subsequent visits to complete the treatment were, as near as could be, a pleasant dentist experience. The work needed was presented to me simply and all the potential pitfalls explained. I now have great faith and trust in two dental surgeons!! Thank you Dr. Kreena Patel and to your dental nurse also."
K
Ureta Tattie
"Kreena is brilliant...had a couple root canals before and this young lady is by far the best. Very reassuring, making you feel at ease....relaxing music a bonus.
Kreena uses the lastest technology with expert hands....there was no discomfort…..at all.
Kreena is one of those experts you'd follow around where ever they practice."
K
Cara Stedman
"I self-referred to Kreena for my root canal. To be honest ! was terrified about the procedure and put it off for a long while. However Kreena made me feel at ease and carefully explained all the steps. The procedure was over quicker than I thought, too. I didn't feel a thing during the treatment, had zero pain afterwards, and was very pleased everything had gone to plan. Kreena is such a lovely dentist, clearly very experienced in her field. I wouldn't hesitate to recommend her to anyone."
K
Helen Daniels
"I recently had re-route canal treatment at Bridgstock Dental practice, i was feeling very anxious before my initial appointment. All my anxiety dissipated when i met Kreena Patel, not only is she an expert in her field Kreena made me feel completely at ease. Kreena talked me through what the procedures involved and kept me updated throughout my treatment. I was very happy with the outcome and i would definitely go back."
K
Wendy Cook
"Kreena made me feel very confident in how she was going to treat me from my consultation and I felt very safe in her and her assistants hands. I felt no pain and was made to feel relaxed and informed of the procedure throughout. Now not suffering any pain and would highly recommend her and Brigstock Dental Surgery. Thankyou for making the experience far better than I imagined."
M
Murugesu Navaratnarajah
"I attended the practice to see Dr. Kreena Patel after being referred to her by my dentist Pam Nava for a specialist consultation. The practice was easy to get to. The receptionists were polite and efficient. Dr. Patel was brilliant and highly professional. I have full confidence in her judgement and skills. The practice was very clean and I would recommend this surgery without any reservations."

Steve Hickson
"Attended Bridgestock for a crackled tooth and was cared for by Kreena Patel. I'm a little bit in awe of what she does and what she did for me, she and her immediate team are friendly, down-to-earth and take time to explain everything carefully. I must admit I was a little nervous before the treatment but needn't worried as Kreena and her team put me at ease and did a great job. If you need root canal treatment, you won't go far wrong with Kreena."

Mayoorathy Thushaarah
"I had re-root canal treatment done on three front teeth by Dr. Kreena. I was a bit nervous about my treatment. However, Dr. Kreena put me at ease as she was very reassuring and took time to explain everything clearly before starting the procedure and during the procedure. She was very thorough and gentle. Thank you very much Dr. Kreena and team."
C
Cesar Echavarren Fernandez
"I got treated by Dr. Kreena and I'm very happy about the way she treated me. She had to do quite a tricky procedure, fixing my previous dentist’s mistakes, and she did an amazing job. Not only that, she went out of her way to make sure the process was made perfectly and without error, taking no chances. I was there for 2 and a half hours, and I felt safe, informed and in good hands at all times. Also a quick shout in favor of the receptionist; she was lovely, kind and informative. Receptionists don’t get the respect they deserve sometimes."

Amit Kumar
"I had a root canal treatment done here by Dr. Kreena Patel & her team & I cannot speak highly enough of them all. Very professional, thorough & kind, charming & VERY efficient. Root canal procedure is never a 'pleasure' but this team make it as good as it possibly can be. I have no hesitation in recommending them 100%. I felt in safe hands which was important to me. Thank you team at Brigstock Dental!"
K
Kazuko Hashimoto
"I was very happy with my root canal treatment at Brigstock Dental today. Dr. Kreena is genuine, caring and very good at what she does. Immediately, I could trust her with my treatment. I'm a dentist myself so I thought I would be ok with having a root canal treatment but on the morning of the treatment I was feeling a little nervous. She reassured me all will be fine and explained each step of the way. Her dental nurse is also very lovely and has a great vibe together with Dr. Kreena. Thank you so much. One very happy patient."
K
Phil Ruberry
"I was referred to Brigstock Dental Practice for root canal treatment by my own dentist. I have always been a very anxious dental patient following some bad experiences as a child. I do have great faith in my own dentist and the work she carries out and, therefore, when she referred me I was satisfied that things would be ok. I was not mistaken. Dr. Kreena Patel put me at ease from the very first consultation. Two subsequent visits to complete the treatment were, as near as could be, a pleasant dentist experience. The work needed was presented to me simply and all the potential pitfalls explained. I now have great faith and trust in two dental surgeons!! Thank you Dr. Kreena Patel and to your dental nurse also."
K
Ureta Tattie
"Kreena is brilliant...had a couple root canals before and this young lady is by far the best. Very reassuring, making you feel at ease....relaxing music a bonus.
Kreena uses the lastest technology with expert hands....there was no discomfort…..at all.
Kreena is one of those experts you'd follow around where ever they practice."
K
Cara Stedman
"I self-referred to Kreena for my root canal. To be honest ! was terrified about the procedure and put it off for a long while. However Kreena made me feel at ease and carefully explained all the steps. The procedure was over quicker than I thought, too. I didn't feel a thing during the treatment, had zero pain afterwards, and was very pleased everything had gone to plan. Kreena is such a lovely dentist, clearly very experienced in her field. I wouldn't hesitate to recommend her to anyone."
K
Helen Daniels
"I recently had re-route canal treatment at Bridgstock Dental practice, i was feeling very anxious before my initial appointment. All my anxiety dissipated when i met Kreena Patel, not only is she an expert in her field Kreena made me feel completely at ease. Kreena talked me through what the procedures involved and kept me updated throughout my treatment. I was very happy with the outcome and i would definitely go back."
K
Wendy Cook
"Kreena made me feel very confident in how she was going to treat me from my consultation and I felt very safe in her and her assistants hands. I felt no pain and was made to feel relaxed and informed of the procedure throughout. Now not suffering any pain and would highly recommend her and Brigstock Dental Surgery. Thankyou for making the experience far better than I imagined."
WHAT OUR PATIENTS SAY
M
Murugesu Navaratnarajah
"I attended the practice to see Dr. Kreena Patel after being referred to her by my dentist Pam Nava for a specialist consultation. The practice was easy to get to. The receptionists were polite and efficient. Dr. Patel was brilliant and highly professional. I have full confidence in her judgement and skills. The practice was very clean and I would recommend this surgery without any reservations."

Steve Hickson
"Attended Bridgestock for a crackled tooth and was cared for by Kreena Patel. I'm a little bit in awe of what she does and what she did for me, she and her immediate team are friendly, down-to-earth and take time to explain everything carefully. I must admit I was a little nervous before the treatment but needn't worried as Kreena and her team put me at ease and did a great job. If you need root canal treatment, you won't go far wrong with Kreena."

Mayoorathy Thushaarah
"I had re-root canal treatment done on three front teeth by Dr. Kreena. I was a bit nervous about my treatment. However, Dr. Kreena put me at ease as she was very reassuring and took time to explain everything clearly before starting the procedure and during the procedure. She was very thorough and gentle. Thank you very much Dr. Kreena and team."
C
Cesar Echavarren Fernandez
"I got treated by Dr. Kreena and I'm very happy about the way she treated me. She had to do quite a tricky procedure, fixing my previous dentist’s mistakes, and she did an amazing job. Not only that, she went out of her way to make sure the process was made perfectly and without error, taking no chances. I was there for 2 and a half hours, and I felt safe, informed and in good hands at all times. Also a quick shout in favor of the receptionist; she was lovely, kind and informative. Receptionists don’t get the respect they deserve sometimes."

Amit Kumar
"I had a root canal treatment done here by Dr. Kreena Patel & her team & I cannot speak highly enough of them all. Very professional, thorough & kind, charming & VERY efficient. Root canal procedure is never a 'pleasure' but this team make it as good as it possibly can be. I have no hesitation in recommending them 100%. I felt in safe hands which was important to me. Thank you team at Brigstock Dental!"
K
Kazuko Hashimoto
"I was very happy with my root canal treatment at Brigstock Dental today. Dr. Kreena is genuine, caring and very good at what she does. Immediately, I could trust her with my treatment. I'm a dentist myself so I thought I would be ok with having a root canal treatment but on the morning of the treatment I was feeling a little nervous. She reassured me all will be fine and explained each step of the way. Her dental nurse is also very lovely and has a great vibe together with Dr. Kreena. Thank you so much. One very happy patient."
K
Phil Ruberry
"I was referred to Brigstock Dental Practice for root canal treatment by my own dentist. I have always been a very anxious dental patient following some bad experiences as a child. I do have great faith in my own dentist and the work she carries out and, therefore, when she referred me I was satisfied that things would be ok. I was not mistaken. Dr. Kreena Patel put me at ease from the very first consultation. Two subsequent visits to complete the treatment were, as near as could be, a pleasant dentist experience. The work needed was presented to me simply and all the potential pitfalls explained. I now have great faith and trust in two dental surgeons!! Thank you Dr. Kreena Patel and to your dental nurse also."
K
Ureta Tattie
"Kreena is brilliant...had a couple root canals before and this young lady is by far the best. Very reassuring, making you feel at ease....relaxing music a bonus.
Kreena uses the lastest technology with expert hands....there was no discomfort…..at all.
Kreena is one of those experts you'd follow around where ever they practice."
K
Cara Stedman
"I self-referred to Kreena for my root canal. To be honest ! was terrified about the procedure and put it off for a long while. However Kreena made me feel at ease and carefully explained all the steps. The procedure was over quicker than I thought, too. I didn't feel a thing during the treatment, had zero pain afterwards, and was very pleased everything had gone to plan. Kreena is such a lovely dentist, clearly very experienced in her field. I wouldn't hesitate to recommend her to anyone."
K
Helen Daniels
"I recently had re-route canal treatment at Bridgstock Dental practice, i was feeling very anxious before my initial appointment. All my anxiety dissipated when i met Kreena Patel, not only is she an expert in her field Kreena made me feel completely at ease. Kreena talked me through what the procedures involved and kept me updated throughout my treatment. I was very happy with the outcome and i would definitely go back."
K
Wendy Cook
"Kreena made me feel very confident in how she was going to treat me from my consultation and I felt very safe in her and her assistants hands. I felt no pain and was made to feel relaxed and informed of the procedure throughout. Now not suffering any pain and would highly recommend her and Brigstock Dental Surgery. Thankyou for making the experience far better than I imagined."
M
Murugesu Navaratnarajah
"I attended the practice to see Dr. Kreena Patel after being referred to her by my dentist Pam Nava for a specialist consultation. The practice was easy to get to. The receptionists were polite and efficient. Dr. Patel was brilliant and highly professional. I have full confidence in her judgement and skills. The practice was very clean and I would recommend this surgery without any reservations."

Steve Hickson
"Attended Bridgestock for a crackled tooth and was cared for by Kreena Patel. I'm a little bit in awe of what she does and what she did for me, she and her immediate team are friendly, down-to-earth and take time to explain everything carefully. I must admit I was a little nervous before the treatment but needn't worried as Kreena and her team put me at ease and did a great job. If you need root canal treatment, you won't go far wrong with Kreena."

Mayoorathy Thushaarah
"I had re-root canal treatment done on three front teeth by Dr. Kreena. I was a bit nervous about my treatment. However, Dr. Kreena put me at ease as she was very reassuring and took time to explain everything clearly before starting the procedure and during the procedure. She was very thorough and gentle. Thank you very much Dr. Kreena and team."
C
Cesar Echavarren Fernandez
"I got treated by Dr. Kreena and I'm very happy about the way she treated me. She had to do quite a tricky procedure, fixing my previous dentist’s mistakes, and she did an amazing job. Not only that, she went out of her way to make sure the process was made perfectly and without error, taking no chances. I was there for 2 and a half hours, and I felt safe, informed and in good hands at all times. Also a quick shout in favor of the receptionist; she was lovely, kind and informative. Receptionists don’t get the respect they deserve sometimes."

Amit Kumar
"I had a root canal treatment done here by Dr. Kreena Patel & her team & I cannot speak highly enough of them all. Very professional, thorough & kind, charming & VERY efficient. Root canal procedure is never a 'pleasure' but this team make it as good as it possibly can be. I have no hesitation in recommending them 100%. I felt in safe hands which was important to me. Thank you team at Brigstock Dental!"
K
Kazuko Hashimoto
"I was very happy with my root canal treatment at Brigstock Dental today. Dr. Kreena is genuine, caring and very good at what she does. Immediately, I could trust her with my treatment. I'm a dentist myself so I thought I would be ok with having a root canal treatment but on the morning of the treatment I was feeling a little nervous. She reassured me all will be fine and explained each step of the way. Her dental nurse is also very lovely and has a great vibe together with Dr. Kreena. Thank you so much. One very happy patient."
K
Phil Ruberry
"I was referred to Brigstock Dental Practice for root canal treatment by my own dentist. I have always been a very anxious dental patient following some bad experiences as a child. I do have great faith in my own dentist and the work she carries out and, therefore, when she referred me I was satisfied that things would be ok. I was not mistaken. Dr. Kreena Patel put me at ease from the very first consultation. Two subsequent visits to complete the treatment were, as near as could be, a pleasant dentist experience. The work needed was presented to me simply and all the potential pitfalls explained. I now have great faith and trust in two dental surgeons!! Thank you Dr. Kreena Patel and to your dental nurse also."
K
Ureta Tattie
"Kreena is brilliant...had a couple root canals before and this young lady is by far the best. Very reassuring, making you feel at ease....relaxing music a bonus.
Kreena uses the lastest technology with expert hands....there was no discomfort…..at all.
Kreena is one of those experts you'd follow around where ever they practice."
K
Cara Stedman
"I self-referred to Kreena for my root canal. To be honest ! was terrified about the procedure and put it off for a long while. However Kreena made me feel at ease and carefully explained all the steps. The procedure was over quicker than I thought, too. I didn't feel a thing during the treatment, had zero pain afterwards, and was very pleased everything had gone to plan. Kreena is such a lovely dentist, clearly very experienced in her field. I wouldn't hesitate to recommend her to anyone."
K
Helen Daniels
"I recently had re-route canal treatment at Bridgstock Dental practice, i was feeling very anxious before my initial appointment. All my anxiety dissipated when i met Kreena Patel, not only is she an expert in her field Kreena made me feel completely at ease. Kreena talked me through what the procedures involved and kept me updated throughout my treatment. I was very happy with the outcome and i would definitely go back."
K
Wendy Cook
"Kreena made me feel very confident in how she was going to treat me from my consultation and I felt very safe in her and her assistants hands. I felt no pain and was made to feel relaxed and informed of the procedure throughout. Now not suffering any pain and would highly recommend her and Brigstock Dental Surgery. Thankyou for making the experience far better than I imagined."
M
Murugesu Navaratnarajah
"I attended the practice to see Dr. Kreena Patel after being referred to her by my dentist Pam Nava for a specialist consultation. The practice was easy to get to. The receptionists were polite and efficient. Dr. Patel was brilliant and highly professional. I have full confidence in her judgement and skills. The practice was very clean and I would recommend this surgery without any reservations."

Steve Hickson
"Attended Bridgestock for a crackled tooth and was cared for by Kreena Patel. I'm a little bit in awe of what she does and what she did for me, she and her immediate team are friendly, down-to-earth and take time to explain everything carefully. I must admit I was a little nervous before the treatment but needn't worried as Kreena and her team put me at ease and did a great job. If you need root canal treatment, you won't go far wrong with Kreena."

Mayoorathy Thushaarah
"I had re-root canal treatment done on three front teeth by Dr. Kreena. I was a bit nervous about my treatment. However, Dr. Kreena put me at ease as she was very reassuring and took time to explain everything clearly before starting the procedure and during the procedure. She was very thorough and gentle. Thank you very much Dr. Kreena and team."
C
Cesar Echavarren Fernandez
"I got treated by Dr. Kreena and I'm very happy about the way she treated me. She had to do quite a tricky procedure, fixing my previous dentist’s mistakes, and she did an amazing job. Not only that, she went out of her way to make sure the process was made perfectly and without error, taking no chances. I was there for 2 and a half hours, and I felt safe, informed and in good hands at all times. Also a quick shout in favor of the receptionist; she was lovely, kind and informative. Receptionists don’t get the respect they deserve sometimes."

Amit Kumar
"I had a root canal treatment done here by Dr. Kreena Patel & her team & I cannot speak highly enough of them all. Very professional, thorough & kind, charming & VERY efficient. Root canal procedure is never a 'pleasure' but this team make it as good as it possibly can be. I have no hesitation in recommending them 100%. I felt in safe hands which was important to me. Thank you team at Brigstock Dental!"
K
Kazuko Hashimoto
"I was very happy with my root canal treatment at Brigstock Dental today. Dr. Kreena is genuine, caring and very good at what she does. Immediately, I could trust her with my treatment. I'm a dentist myself so I thought I would be ok with having a root canal treatment but on the morning of the treatment I was feeling a little nervous. She reassured me all will be fine and explained each step of the way. Her dental nurse is also very lovely and has a great vibe together with Dr. Kreena. Thank you so much. One very happy patient."
K
Phil Ruberry
"I was referred to Brigstock Dental Practice for root canal treatment by my own dentist. I have always been a very anxious dental patient following some bad experiences as a child. I do have great faith in my own dentist and the work she carries out and, therefore, when she referred me I was satisfied that things would be ok. I was not mistaken. Dr. Kreena Patel put me at ease from the very first consultation. Two subsequent visits to complete the treatment were, as near as could be, a pleasant dentist experience. The work needed was presented to me simply and all the potential pitfalls explained. I now have great faith and trust in two dental surgeons!! Thank you Dr. Kreena Patel and to your dental nurse also."
K
Ureta Tattie
"Kreena is brilliant...had a couple root canals before and this young lady is by far the best. Very reassuring, making you feel at ease....relaxing music a bonus.
Kreena uses the lastest technology with expert hands....there was no discomfort…..at all.
Kreena is one of those experts you'd follow around where ever they practice."
K
Cara Stedman
"I self-referred to Kreena for my root canal. To be honest ! was terrified about the procedure and put it off for a long while. However Kreena made me feel at ease and carefully explained all the steps. The procedure was over quicker than I thought, too. I didn't feel a thing during the treatment, had zero pain afterwards, and was very pleased everything had gone to plan. Kreena is such a lovely dentist, clearly very experienced in her field. I wouldn't hesitate to recommend her to anyone."
K
Helen Daniels
"I recently had re-route canal treatment at Bridgstock Dental practice, i was feeling very anxious before my initial appointment. All my anxiety dissipated when i met Kreena Patel, not only is she an expert in her field Kreena made me feel completely at ease. Kreena talked me through what the procedures involved and kept me updated throughout my treatment. I was very happy with the outcome and i would definitely go back."
K
Wendy Cook
"Kreena made me feel very confident in how she was going to treat me from my consultation and I felt very safe in her and her assistants hands. I felt no pain and was made to feel relaxed and informed of the procedure throughout. Now not suffering any pain and would highly recommend her and Brigstock Dental Surgery. Thankyou for making the experience far better than I imagined."
M
Murugesu Navaratnarajah
"I attended the practice to see Dr. Kreena Patel after being referred to her by my dentist Pam Nava for a specialist consultation. The practice was easy to get to. The receptionists were polite and efficient. Dr. Patel was brilliant and highly professional. I have full confidence in her judgement and skills. The practice was very clean and I would recommend this surgery without any reservations."

Steve Hickson
"Attended Bridgestock for a crackled tooth and was cared for by Kreena Patel. I'm a little bit in awe of what she does and what she did for me, she and her immediate team are friendly, down-to-earth and take time to explain everything carefully. I must admit I was a little nervous before the treatment but needn't worried as Kreena and her team put me at ease and did a great job. If you need root canal treatment, you won't go far wrong with Kreena."

Mayoorathy Thushaarah
"I had re-root canal treatment done on three front teeth by Dr. Kreena. I was a bit nervous about my treatment. However, Dr. Kreena put me at ease as she was very reassuring and took time to explain everything clearly before starting the procedure and during the procedure. She was very thorough and gentle. Thank you very much Dr. Kreena and team."
C
Cesar Echavarren Fernandez
"I got treated by Dr. Kreena and I'm very happy about the way she treated me. She had to do quite a tricky procedure, fixing my previous dentist’s mistakes, and she did an amazing job. Not only that, she went out of her way to make sure the process was made perfectly and without error, taking no chances. I was there for 2 and a half hours, and I felt safe, informed and in good hands at all times. Also a quick shout in favor of the receptionist; she was lovely, kind and informative. Receptionists don’t get the respect they deserve sometimes."

Amit Kumar
"I had a root canal treatment done here by Dr. Kreena Patel & her team & I cannot speak highly enough of them all. Very professional, thorough & kind, charming & VERY efficient. Root canal procedure is never a 'pleasure' but this team make it as good as it possibly can be. I have no hesitation in recommending them 100%. I felt in safe hands which was important to me. Thank you team at Brigstock Dental!"
K
Kazuko Hashimoto
"I was very happy with my root canal treatment at Brigstock Dental today. Dr. Kreena is genuine, caring and very good at what she does. Immediately, I could trust her with my treatment. I'm a dentist myself so I thought I would be ok with having a root canal treatment but on the morning of the treatment I was feeling a little nervous. She reassured me all will be fine and explained each step of the way. Her dental nurse is also very lovely and has a great vibe together with Dr. Kreena. Thank you so much. One very happy patient."
K
Phil Ruberry
"I was referred to Brigstock Dental Practice for root canal treatment by my own dentist. I have always been a very anxious dental patient following some bad experiences as a child. I do have great faith in my own dentist and the work she carries out and, therefore, when she referred me I was satisfied that things would be ok. I was not mistaken. Dr. Kreena Patel put me at ease from the very first consultation. Two subsequent visits to complete the treatment were, as near as could be, a pleasant dentist experience. The work needed was presented to me simply and all the potential pitfalls explained. I now have great faith and trust in two dental surgeons!! Thank you Dr. Kreena Patel and to your dental nurse also."
K
Ureta Tattie
"Kreena is brilliant...had a couple root canals before and this young lady is by far the best. Very reassuring, making you feel at ease....relaxing music a bonus.
Kreena uses the lastest technology with expert hands....there was no discomfort…..at all.
Kreena is one of those experts you'd follow around where ever they practice."
K
Cara Stedman
"I self-referred to Kreena for my root canal. To be honest ! was terrified about the procedure and put it off for a long while. However Kreena made me feel at ease and carefully explained all the steps. The procedure was over quicker than I thought, too. I didn't feel a thing during the treatment, had zero pain afterwards, and was very pleased everything had gone to plan. Kreena is such a lovely dentist, clearly very experienced in her field. I wouldn't hesitate to recommend her to anyone."
K
Helen Daniels
"I recently had re-route canal treatment at Bridgstock Dental practice, i was feeling very anxious before my initial appointment. All my anxiety dissipated when i met Kreena Patel, not only is she an expert in her field Kreena made me feel completely at ease. Kreena talked me through what the procedures involved and kept me updated throughout my treatment. I was very happy with the outcome and i would definitely go back."
K
Wendy Cook
"Kreena made me feel very confident in how she was going to treat me from my consultation and I felt very safe in her and her assistants hands. I felt no pain and was made to feel relaxed and informed of the procedure throughout. Now not suffering any pain and would highly recommend her and Brigstock Dental Surgery. Thankyou for making the experience far better than I imagined."
WHAT OUR PATIENTS SAY
M
Murugesu Navaratnarajah
"I attended the practice to see Dr. Kreena Patel after being referred to her by my dentist Pam Nava for a specialist consultation. The practice was easy to get to. The receptionists were polite and efficient. Dr. Patel was brilliant and highly professional. I have full confidence in her judgement and skills. The practice was very clean and I would recommend this surgery without any reservations."

Steve Hickson
"Attended Bridgestock for a crackled tooth and was cared for by Kreena Patel. I'm a little bit in awe of what she does and what she did for me, she and her immediate team are friendly, down-to-earth and take time to explain everything carefully. I must admit I was a little nervous before the treatment but needn't worried as Kreena and her team put me at ease and did a great job. If you need root canal treatment, you won't go far wrong with Kreena."

Mayoorathy Thushaarah
"I had re-root canal treatment done on three front teeth by Dr. Kreena. I was a bit nervous about my treatment. However, Dr. Kreena put me at ease as she was very reassuring and took time to explain everything clearly before starting the procedure and during the procedure. She was very thorough and gentle. Thank you very much Dr. Kreena and team."
C
Cesar Echavarren Fernandez
"I got treated by Dr. Kreena and I'm very happy about the way she treated me. She had to do quite a tricky procedure, fixing my previous dentist’s mistakes, and she did an amazing job. Not only that, she went out of her way to make sure the process was made perfectly and without error, taking no chances. I was there for 2 and a half hours, and I felt safe, informed and in good hands at all times. Also a quick shout in favor of the receptionist; she was lovely, kind and informative. Receptionists don’t get the respect they deserve sometimes."

Amit Kumar
"I had a root canal treatment done here by Dr. Kreena Patel & her team & I cannot speak highly enough of them all. Very professional, thorough & kind, charming & VERY efficient. Root canal procedure is never a 'pleasure' but this team make it as good as it possibly can be. I have no hesitation in recommending them 100%. I felt in safe hands which was important to me. Thank you team at Brigstock Dental!"
K
Kazuko Hashimoto
"I was very happy with my root canal treatment at Brigstock Dental today. Dr. Kreena is genuine, caring and very good at what she does. Immediately, I could trust her with my treatment. I'm a dentist myself so I thought I would be ok with having a root canal treatment but on the morning of the treatment I was feeling a little nervous. She reassured me all will be fine and explained each step of the way. Her dental nurse is also very lovely and has a great vibe together with Dr. Kreena. Thank you so much. One very happy patient."
K
Phil Ruberry
"I was referred to Brigstock Dental Practice for root canal treatment by my own dentist. I have always been a very anxious dental patient following some bad experiences as a child. I do have great faith in my own dentist and the work she carries out and, therefore, when she referred me I was satisfied that things would be ok. I was not mistaken. Dr. Kreena Patel put me at ease from the very first consultation. Two subsequent visits to complete the treatment were, as near as could be, a pleasant dentist experience. The work needed was presented to me simply and all the potential pitfalls explained. I now have great faith and trust in two dental surgeons!! Thank you Dr. Kreena Patel and to your dental nurse also."
K
Ureta Tattie
"Kreena is brilliant...had a couple root canals before and this young lady is by far the best. Very reassuring, making you feel at ease....relaxing music a bonus.
Kreena uses the lastest technology with expert hands....there was no discomfort…..at all.
Kreena is one of those experts you'd follow around where ever they practice."
K
Cara Stedman
"I self-referred to Kreena for my root canal. To be honest ! was terrified about the procedure and put it off for a long while. However Kreena made me feel at ease and carefully explained all the steps. The procedure was over quicker than I thought, too. I didn't feel a thing during the treatment, had zero pain afterwards, and was very pleased everything had gone to plan. Kreena is such a lovely dentist, clearly very experienced in her field. I wouldn't hesitate to recommend her to anyone."
K
Helen Daniels
"I recently had re-route canal treatment at Bridgstock Dental practice, i was feeling very anxious before my initial appointment. All my anxiety dissipated when i met Kreena Patel, not only is she an expert in her field Kreena made me feel completely at ease. Kreena talked me through what the procedures involved and kept me updated throughout my treatment. I was very happy with the outcome and i would definitely go back."
K
Wendy Cook
"Kreena made me feel very confident in how she was going to treat me from my consultation and I felt very safe in her and her assistants hands. I felt no pain and was made to feel relaxed and informed of the procedure throughout. Now not suffering any pain and would highly recommend her and Brigstock Dental Surgery. Thankyou for making the experience far better than I imagined."
M
Murugesu Navaratnarajah
"I attended the practice to see Dr. Kreena Patel after being referred to her by my dentist Pam Nava for a specialist consultation. The practice was easy to get to. The receptionists were polite and efficient. Dr. Patel was brilliant and highly professional. I have full confidence in her judgement and skills. The practice was very clean and I would recommend this surgery without any reservations."

Steve Hickson
"Attended Bridgestock for a crackled tooth and was cared for by Kreena Patel. I'm a little bit in awe of what she does and what she did for me, she and her immediate team are friendly, down-to-earth and take time to explain everything carefully. I must admit I was a little nervous before the treatment but needn't worried as Kreena and her team put me at ease and did a great job. If you need root canal treatment, you won't go far wrong with Kreena."

Mayoorathy Thushaarah
"I had re-root canal treatment done on three front teeth by Dr. Kreena. I was a bit nervous about my treatment. However, Dr. Kreena put me at ease as she was very reassuring and took time to explain everything clearly before starting the procedure and during the procedure. She was very thorough and gentle. Thank you very much Dr. Kreena and team."
C
Cesar Echavarren Fernandez
"I got treated by Dr. Kreena and I'm very happy about the way she treated me. She had to do quite a tricky procedure, fixing my previous dentist’s mistakes, and she did an amazing job. Not only that, she went out of her way to make sure the process was made perfectly and without error, taking no chances. I was there for 2 and a half hours, and I felt safe, informed and in good hands at all times. Also a quick shout in favor of the receptionist; she was lovely, kind and informative. Receptionists don’t get the respect they deserve sometimes."

Amit Kumar
"I had a root canal treatment done here by Dr. Kreena Patel & her team & I cannot speak highly enough of them all. Very professional, thorough & kind, charming & VERY efficient. Root canal procedure is never a 'pleasure' but this team make it as good as it possibly can be. I have no hesitation in recommending them 100%. I felt in safe hands which was important to me. Thank you team at Brigstock Dental!"
K
Kazuko Hashimoto
"I was very happy with my root canal treatment at Brigstock Dental today. Dr. Kreena is genuine, caring and very good at what she does. Immediately, I could trust her with my treatment. I'm a dentist myself so I thought I would be ok with having a root canal treatment but on the morning of the treatment I was feeling a little nervous. She reassured me all will be fine and explained each step of the way. Her dental nurse is also very lovely and has a great vibe together with Dr. Kreena. Thank you so much. One very happy patient."
K
Phil Ruberry
"I was referred to Brigstock Dental Practice for root canal treatment by my own dentist. I have always been a very anxious dental patient following some bad experiences as a child. I do have great faith in my own dentist and the work she carries out and, therefore, when she referred me I was satisfied that things would be ok. I was not mistaken. Dr. Kreena Patel put me at ease from the very first consultation. Two subsequent visits to complete the treatment were, as near as could be, a pleasant dentist experience. The work needed was presented to me simply and all the potential pitfalls explained. I now have great faith and trust in two dental surgeons!! Thank you Dr. Kreena Patel and to your dental nurse also."
K
Ureta Tattie
"Kreena is brilliant...had a couple root canals before and this young lady is by far the best. Very reassuring, making you feel at ease....relaxing music a bonus.
Kreena uses the lastest technology with expert hands....there was no discomfort…..at all.
Kreena is one of those experts you'd follow around where ever they practice."
K
Cara Stedman
"I self-referred to Kreena for my root canal. To be honest ! was terrified about the procedure and put it off for a long while. However Kreena made me feel at ease and carefully explained all the steps. The procedure was over quicker than I thought, too. I didn't feel a thing during the treatment, had zero pain afterwards, and was very pleased everything had gone to plan. Kreena is such a lovely dentist, clearly very experienced in her field. I wouldn't hesitate to recommend her to anyone."
K
Helen Daniels
"I recently had re-route canal treatment at Bridgstock Dental practice, i was feeling very anxious before my initial appointment. All my anxiety dissipated when i met Kreena Patel, not only is she an expert in her field Kreena made me feel completely at ease. Kreena talked me through what the procedures involved and kept me updated throughout my treatment. I was very happy with the outcome and i would definitely go back."
K
Wendy Cook
"Kreena made me feel very confident in how she was going to treat me from my consultation and I felt very safe in her and her assistants hands. I felt no pain and was made to feel relaxed and informed of the procedure throughout. Now not suffering any pain and would highly recommend her and Brigstock Dental Surgery. Thankyou for making the experience far better than I imagined."
M
Murugesu Navaratnarajah
"I attended the practice to see Dr. Kreena Patel after being referred to her by my dentist Pam Nava for a specialist consultation. The practice was easy to get to. The receptionists were polite and efficient. Dr. Patel was brilliant and highly professional. I have full confidence in her judgement and skills. The practice was very clean and I would recommend this surgery without any reservations."

Steve Hickson
"Attended Bridgestock for a crackled tooth and was cared for by Kreena Patel. I'm a little bit in awe of what she does and what she did for me, she and her immediate team are friendly, down-to-earth and take time to explain everything carefully. I must admit I was a little nervous before the treatment but needn't worried as Kreena and her team put me at ease and did a great job. If you need root canal treatment, you won't go far wrong with Kreena."

Mayoorathy Thushaarah
"I had re-root canal treatment done on three front teeth by Dr. Kreena. I was a bit nervous about my treatment. However, Dr. Kreena put me at ease as she was very reassuring and took time to explain everything clearly before starting the procedure and during the procedure. She was very thorough and gentle. Thank you very much Dr. Kreena and team."
C
Cesar Echavarren Fernandez
"I got treated by Dr. Kreena and I'm very happy about the way she treated me. She had to do quite a tricky procedure, fixing my previous dentist’s mistakes, and she did an amazing job. Not only that, she went out of her way to make sure the process was made perfectly and without error, taking no chances. I was there for 2 and a half hours, and I felt safe, informed and in good hands at all times. Also a quick shout in favor of the receptionist; she was lovely, kind and informative. Receptionists don’t get the respect they deserve sometimes."

Amit Kumar
"I had a root canal treatment done here by Dr. Kreena Patel & her team & I cannot speak highly enough of them all. Very professional, thorough & kind, charming & VERY efficient. Root canal procedure is never a 'pleasure' but this team make it as good as it possibly can be. I have no hesitation in recommending them 100%. I felt in safe hands which was important to me. Thank you team at Brigstock Dental!"
K
Kazuko Hashimoto
"I was very happy with my root canal treatment at Brigstock Dental today. Dr. Kreena is genuine, caring and very good at what she does. Immediately, I could trust her with my treatment. I'm a dentist myself so I thought I would be ok with having a root canal treatment but on the morning of the treatment I was feeling a little nervous. She reassured me all will be fine and explained each step of the way. Her dental nurse is also very lovely and has a great vibe together with Dr. Kreena. Thank you so much. One very happy patient."
K
Phil Ruberry
"I was referred to Brigstock Dental Practice for root canal treatment by my own dentist. I have always been a very anxious dental patient following some bad experiences as a child. I do have great faith in my own dentist and the work she carries out and, therefore, when she referred me I was satisfied that things would be ok. I was not mistaken. Dr. Kreena Patel put me at ease from the very first consultation. Two subsequent visits to complete the treatment were, as near as could be, a pleasant dentist experience. The work needed was presented to me simply and all the potential pitfalls explained. I now have great faith and trust in two dental surgeons!! Thank you Dr. Kreena Patel and to your dental nurse also."
K
Ureta Tattie
"Kreena is brilliant...had a couple root canals before and this young lady is by far the best. Very reassuring, making you feel at ease....relaxing music a bonus.
Kreena uses the lastest technology with expert hands....there was no discomfort…..at all.
Kreena is one of those experts you'd follow around where ever they practice."
K
Cara Stedman
"I self-referred to Kreena for my root canal. To be honest ! was terrified about the procedure and put it off for a long while. However Kreena made me feel at ease and carefully explained all the steps. The procedure was over quicker than I thought, too. I didn't feel a thing during the treatment, had zero pain afterwards, and was very pleased everything had gone to plan. Kreena is such a lovely dentist, clearly very experienced in her field. I wouldn't hesitate to recommend her to anyone."
K
Helen Daniels
"I recently had re-route canal treatment at Bridgstock Dental practice, i was feeling very anxious before my initial appointment. All my anxiety dissipated when i met Kreena Patel, not only is she an expert in her field Kreena made me feel completely at ease. Kreena talked me through what the procedures involved and kept me updated throughout my treatment. I was very happy with the outcome and i would definitely go back."
K
Wendy Cook
"Kreena made me feel very confident in how she was going to treat me from my consultation and I felt very safe in her and her assistants hands. I felt no pain and was made to feel relaxed and informed of the procedure throughout. Now not suffering any pain and would highly recommend her and Brigstock Dental Surgery. Thankyou for making the experience far better than I imagined."
M
Murugesu Navaratnarajah
"I attended the practice to see Dr. Kreena Patel after being referred to her by my dentist Pam Nava for a specialist consultation. The practice was easy to get to. The receptionists were polite and efficient. Dr. Patel was brilliant and highly professional. I have full confidence in her judgement and skills. The practice was very clean and I would recommend this surgery without any reservations."

Steve Hickson
"Attended Bridgestock for a crackled tooth and was cared for by Kreena Patel. I'm a little bit in awe of what she does and what she did for me, she and her immediate team are friendly, down-to-earth and take time to explain everything carefully. I must admit I was a little nervous before the treatment but needn't worried as Kreena and her team put me at ease and did a great job. If you need root canal treatment, you won't go far wrong with Kreena."

Mayoorathy Thushaarah
"I had re-root canal treatment done on three front teeth by Dr. Kreena. I was a bit nervous about my treatment. However, Dr. Kreena put me at ease as she was very reassuring and took time to explain everything clearly before starting the procedure and during the procedure. She was very thorough and gentle. Thank you very much Dr. Kreena and team."
C
Cesar Echavarren Fernandez
"I got treated by Dr. Kreena and I'm very happy about the way she treated me. She had to do quite a tricky procedure, fixing my previous dentist’s mistakes, and she did an amazing job. Not only that, she went out of her way to make sure the process was made perfectly and without error, taking no chances. I was there for 2 and a half hours, and I felt safe, informed and in good hands at all times. Also a quick shout in favor of the receptionist; she was lovely, kind and informative. Receptionists don’t get the respect they deserve sometimes."

Amit Kumar
"I had a root canal treatment done here by Dr. Kreena Patel & her team & I cannot speak highly enough of them all. Very professional, thorough & kind, charming & VERY efficient. Root canal procedure is never a 'pleasure' but this team make it as good as it possibly can be. I have no hesitation in recommending them 100%. I felt in safe hands which was important to me. Thank you team at Brigstock Dental!"
K
Kazuko Hashimoto
"I was very happy with my root canal treatment at Brigstock Dental today. Dr. Kreena is genuine, caring and very good at what she does. Immediately, I could trust her with my treatment. I'm a dentist myself so I thought I would be ok with having a root canal treatment but on the morning of the treatment I was feeling a little nervous. She reassured me all will be fine and explained each step of the way. Her dental nurse is also very lovely and has a great vibe together with Dr. Kreena. Thank you so much. One very happy patient."
K
Phil Ruberry
"I was referred to Brigstock Dental Practice for root canal treatment by my own dentist. I have always been a very anxious dental patient following some bad experiences as a child. I do have great faith in my own dentist and the work she carries out and, therefore, when she referred me I was satisfied that things would be ok. I was not mistaken. Dr. Kreena Patel put me at ease from the very first consultation. Two subsequent visits to complete the treatment were, as near as could be, a pleasant dentist experience. The work needed was presented to me simply and all the potential pitfalls explained. I now have great faith and trust in two dental surgeons!! Thank you Dr. Kreena Patel and to your dental nurse also."
K
Ureta Tattie
"Kreena is brilliant...had a couple root canals before and this young lady is by far the best. Very reassuring, making you feel at ease....relaxing music a bonus.
Kreena uses the lastest technology with expert hands....there was no discomfort…..at all.
Kreena is one of those experts you'd follow around where ever they practice."
K
Cara Stedman
"I self-referred to Kreena for my root canal. To be honest ! was terrified about the procedure and put it off for a long while. However Kreena made me feel at ease and carefully explained all the steps. The procedure was over quicker than I thought, too. I didn't feel a thing during the treatment, had zero pain afterwards, and was very pleased everything had gone to plan. Kreena is such a lovely dentist, clearly very experienced in her field. I wouldn't hesitate to recommend her to anyone."
K
Helen Daniels
"I recently had re-route canal treatment at Bridgstock Dental practice, i was feeling very anxious before my initial appointment. All my anxiety dissipated when i met Kreena Patel, not only is she an expert in her field Kreena made me feel completely at ease. Kreena talked me through what the procedures involved and kept me updated throughout my treatment. I was very happy with the outcome and i would definitely go back."
K
Wendy Cook
"Kreena made me feel very confident in how she was going to treat me from my consultation and I felt very safe in her and her assistants hands. I felt no pain and was made to feel relaxed and informed of the procedure throughout. Now not suffering any pain and would highly recommend her and Brigstock Dental Surgery. Thankyou for making the experience far better than I imagined."







pricing
Treatment
Type
Fee
(Starting From)
Primary Root Canal Treatment
Incisor or canine
Premolar
Molar
£1,000
£1,050
£1,150
Root Canal Retreatment
Incisor or canine
Premolar
Molar
£1,050
£1,150
£1,250
Apical microsurgery
£1450
Treatment Price Calculator
Treatment Cost
Starting from
£0
BOOK YOUR APPOINTMENT
All Rights Reserved | Kreena Specialist Endodontics
All Rights Reserved | Kreena Specialist Endodontics
All Rights Reserved | Kreena Specialist Endodontics
Brigstock Dental Practice, South London
Oaktree Dental, Berkshire
All Rights Reserved | Kreena Specialist Endodontics












